Líneas de investigación actuales
Aplicación de técnicas de inteligencia artificial en el análisis médico para la detección temprana de enfermedades y la optimización del diagnóstico clínico. Se emplearán modelos de aprendizaje profundo capaces de procesar imágenes médicas y datos biométricos con alta precisión. Estos modelos permitirán identificar patrones complejos entre síntomas y patologías. Asimismo, se integrarán modelos generativos de IA para la simulación y mejora de datos médicos. El objetivo es desarrollar un sistema inteligente que apoye la toma de decisiones médicas de forma predictiva y personalizada.
TRANSCRIPTÓMICA: Modelo variacional superficial para la generación realista de datos sintéticos de scRNA-seq
Resumen de nuestro proyecto

La secuenciación de ARN de célula única (scRNA-seq) permite analizar la heterogeneidad transcripcional con una resolución sin precedentes, constituyendo una herramienta clave para la investigación biomédica y, en particular, para el estudio de enfermedades neurológicas. No obstante, el análisis de este tipo de datos se ve limitado por la presencia de ruido, la alta esparsidad y el reducido tamaño de las muestras disponibles.
En este contexto, la generación de datos sintéticos realistas surge como una solución eficaz para proporcionar conjuntos de datos reproducibles que faciliten el desarrollo, la validación y la comparación de nuevos métodos computacionales. Sin embargo, muchos de los modelos generativos actuales basados en autoencoders variacionales asumen independencia entre las dimensiones latentes, lo que dificulta la captura de las dependencias gen-gen que caracterizan la estructura biológica real.
Para superar esta limitación, proponemos un modelo variacional superficial capaz de aprender una estructura de covarianza completa en el espacio latente, permitiendo representar interdependencias que reflejan relaciones de coexpresión y regulación génica. Este enfoque reproduce de forma fiel tanto los patrones marginales y multivariantes de expresión génica como la esparsidad característica de los datos scRNA-seq, proporcionando una herramienta robusta y realista para la generación de datos sintéticos en estudios de biología de sistemas y biomedicina.
CARDIOVASCULAR: IA Generativa para Bioseñales Cardíacas
Resumen de nuestro proyecto

Con el objetivo de detectar enfermedades cardiovasculares (ECV) de forma temprana, en los últimos años se
han desarrollado modelos basados en inteligencia artificial que, a partir del análisis de señales cardíacas
como los electrocardiogramas (ECG) o los fonocardiogramas (PCG), permiten realizar diagnósticos sobre
posibles patologías reflejadas en dichas señales.
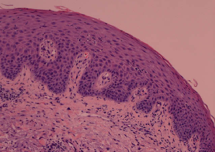
MELANOMA: Deep Learning para la mejora del diagnóstico y la anticipación de inmunoterapias en melanoma
Resumen de nuestro proyecto

Desarrollo de modelos de Inteligencia Artificial basados en imágenes histopatológicas y datos clínicos para distinguir entre una lesión cutánea melanoma y una no melanoma y anticipar el comportamiento de los diferentes tratamientos inmunoterapéuticos que se pueden aplicar a cada paciente. Se propone el uso de modelos híbridos para poder hacer un diagnóstico entre nevus y melanoma y medir la eficacia de una terapia.
Convocatoria 2023 de ayudas UFV a Proyectos de Investigación.
Predicción y generación de datos sintéticos para el diagnósticos de diabetes gestacional
Resumen de nuestro proyecto

Esta línea de investigación aborda el estudio y desarrollo de modelos de aprendizaje automático para la detección temprana de diabetes gestacional. Para ello, se dispone de conjunto de muestras clínicas reales compuesto por variables numéricas relacionadas con el estado de salud de pacientes embarazadas (niveles de glucosa, edad gestacional, presión arterial, índice de masa corporal, parámetros hematológicos y otras métricas biomédicas relevantes), junto con su etiqueta diagnóstica.
Detección temprana de ELA mediante ecografía musculoesquelética e inteligencia artificial
Resumen de nuestro proyecto

Línea de investigación centrada en el desarrollo de métodos de análisis automatizado para la detección precoz de ELA a través de imágenes ecográficas del tejido muscular y modelos de inteligencia artificial.
Se dispone de un conjunto de ecografías musculoesqueléticas adquiridas en cuatro músculos clínicamente relevantes para la progresión temprana de la enfermedad: bíceps braquial / braquial, flexores de muñeca, cuádriceps femoral y tibial anterior
En cada exploración se seleccionan Regiones de Interés (ROI) en áreas con máxima reflexión acústica para asegurar la mejor resolución diagnóstica y se evita tejido tendinoso intramuscular. Además de las imágenes brutas, se dispone de un conjunto de biomarcadores cuantitativos extraídos de los ROI
Análisis morfológico de glóbulos rojos mediante microscopía Thunder y visión por computador
Resumen de nuestro proyecto

Este proyecto, se desarrolla en colaboración con el grupo de Biofísica de la UFV, y se centra en la investigación de alteraciones morfológicas y estructurales en glóbulos rojos utilizando vídeos obtenidos mediante microscopía avanzada Thunder. Esta tecnología permite la adquisición de información tridimensional con gran resolución espacial, facilitando la exploración detallada de estructuras celulares en investigación biomolecular.
El objetivo principal es desarrollar un pipeline computacional para analizar automáticamente las variaciones en la membrana eritrocitaria, estudiando su geometría, deformabilidad y patrones estructurales
Desarrollo de modelos avanzados de inteligencia artificial mediante redes neuronales profundas, arquitecturas, CNN, GAN y Trasformes para la toma autónoma de decisiones en entornos complejos
TECT-CI5G: Tecnologías Transformadoras en Ciberseguridad: Aprendizaje Profundo y Minería de Grafos para la Inteligencia en Tráfico de Red 5G.
Resumen de nuestro proyecto

Uso de técnicas de IA y minería de datos en el desarrollo de aplicaciones de seguridad cibernética mediante la caracterización del tráfico de red y la detección de amenazas, por medio de un sistema robusto de análisis que garantice resultados precisos. Para ello se llevará a cabo la clasificación en tiempo real del tráfico en entornos 5G a través de la modelización de estas redes como grafos; la introducción de técnicas de análisis de grafos por medio de modelo de DL para detectar patrones recursivos de amenazas y por último la implementación de un sistema de defensa preventivo con modelos generativos de IA.
Convocatoria 2023 de Proyectos de Colaboración Público-Privada, Ministerio de Ciencia, Innovación y Universidades y Fondo Europeo de Desarrollo Regional (FEDER) (2024-2027). Financiación: 451.422 €
ESTRELLAS DE NEUTRONES: Descubriendo su interior mediante PINNs
Resumen de nuestro proyecto

Este proyecto desarrolla una prueba de concepto destinada a evaluar la capacidad de las Physics-Informed Neural Networks (PINNs) para resolver problemas inversos gobernados por ecuaciones diferenciales en presencia de ruido complejo. El objetivo estratégico es establecer una base metodológica que permita, en etapas posteriores, aplicar este enfoque a sistemas cuánticos abiertos, donde el ruido intrínseco y las limitaciones de medida dificultan la estimación de dinámicas y parámetros.
Como entorno de validación, el proyecto se centra en un sistema astrofísico con datos públicos y modelos físicos bien establecidos: la inferencia de la ecuación de estado de estrellas de neutrones mediante las ecuaciones de Tolman–Oppenheimer–Volkoff (TOV).
La prueba de concepto se centra en desarrollar modelos PINN que integren de forma explícita las ecuaciones físicas en la función de pérdida, utilizando observaciones ruidosas como datos de entrada. En el caso de las estrellas de neutrones, se analizará la capacidad del modelo para recuperar una ecuación de estado compatible tanto con los datos observacionales como con las restricciones impuestas por las ecuaciones TOV. De forma transversal, el proyecto estudiará cómo la naturaleza del ruido, las técnicas de regularización y las distintas estrategias de imposición física afectan a la estabilidad y precisión de las soluciones generadas por las PINNs. Los resultados permitirán determinar la viabilidad de este enfoque en escenarios donde la física del sistema está bien descrita pero los datos presentan ruido significativo, y servirán como base para extender la metodología a la dinámica cuántica ruidosa en proyectos futuros.
Convocatoria 2025 de ayudas UFV a Proyectos de Investigación.



